• Log In
  • Log In
Science Leadership Academy @ Center City
Science Leadership Academy @ Center City Learn · Create · Lead
  • Students
    • Mission and Vision
  • Parents
  • Community
    • Mission and Vision
  • Calendar

Nikki Adeli Public Feed

Nikki Adeli, Capstone

Posted by Nikki Adeli in Capstone - Block - Wed on Friday, May 22, 2015 at 11:13 pm
​When I gave my TEDxTalk in March of my Junior year, I wanted to provide my perspective, as a student, of the problem with education in Philadelphia today. However, when writing my talk I wanted it to be different than other TED talks I had previously seen. I wanted it to have a call to action. My call to action was to have Philadelphia invest more in youth internships and work opportunities so that students were able to expand their interests outside the classroom that wasn’t providing much support for them. 
Therefore, for my Capstone, I began to create the foundation of a project I was longing to do for quite sometime. The creation of what I call “Skillships”. I wanted students, who didn’t have access to internships and shadowing positions, like I did at SLA, to actually have the opportunity to do so because I saw the positive effect it had on my peers and me. However, I called these opportunities Skillships because prior to a student beginning their Skillship, they are to take a diagnostic survey I created. The survey would then show me what their strengths, weaknesses, and interests were. From there, the student would be able to see and help me understand a specific skill they wanted to perfect. Whether it was social media management or mechanics, I wanted to be able to set these students up with the opportunities to grow a skill of their choosing while giving back to Philadelphia by working with small businesses.

 I received a lot of No’s when it came to building the foundation of Skillships. Whether it was regarding a student’s “expertise” or the “lack of incentive I could provide the business”. However, if there is anything I have learned during my 4 years at SLA is that expanding a project or growing as a student takes lots of patience and time.

 This is why I will continue working on Skillships through the summer of 2015 with Mayor’s Office of Education and the Jobs & Economics Committee with the Philadelphia Youth Commission to provide every interested student, within the district, with a Skillship of their interest. 

Diagnostic Quiz taken by participants: https://docs.google.com/forms/d/13NSAUShV5T9lbnHKNtNtoUibGfOcav5-TwG7QeiNnQ/viewform
​Bibliography: https://docs.google.com/document/d/1pVocyfblE3ZtxUGOtsdLggtypLTeMfBeteEcWE0LiuE/edit
Be the first to comment.

Thy Shall Choose

Posted by Nikki Adeli in English 3 - Pahomov - D on Friday, June 6, 2014 at 12:57 pm

“It’s your choice Susanna, said Lawrence, “It’s all up to you”.

“Choose from what?” 

“If you don’t choose, you’ll face brutal consequences. Beginning with the ones you love most.” 


This was the 5th night in a row Susanna was having this dream. The chills and hot flashes would wake her up everytime at 4:34 am causing for her not to go back to sleep. She would lie restless in her bed til 5:45, when her alarm clock would ring. Her day had begun.


“Sam, wake up! You’re going to be late!” 

“It’s stuck again mom, I need help.”

As the aromatic smell of pancakes and coffee filled the house, so did the morning frustration. 

“I told you that these don’t fit anymore mom,” said a frustrated Sam.

“Look Sam, I called Dr. Procter 2 times last week, do you want me to harass the guy?”

“Well if it leads to me getting the prosthetic legs that actually fit, then godspeed.”


Susanna hadn’t called the doctor. Her insurance called her a week prior telling her that Sam’s new legs wouldn’t be covered by their insurance and that his doctor was no longer in their network. Susanna needed to look for a new doctor that would take a new patient that didn’t have that great of a track record. 


Ever since George and Grace passed, things were tough for Susanna. She knew that she had to be strong for Sam, now that he was dealing with his amputation. She didn’t cry at the funeral. She didn’t bring any of the flowers, letters, or teddy bears inside. Ever since the accident, every morning, she tells herself “you’re okay”, when she knows she’s breaking. 


“Okay, finish up your breakfast, you’re going to be late. Come on let’s go”.

“Mom?” questioned Sam.

“Yes?”

“Why are you always in a rush to send me off to school because I’m always out the door 45 minutes before the bell rings when we only live 10 minutes from school?”

She wasn’t going to tell him the real reason.

“Because punctuality is the key to success, now go wait for the bus, it will be here any minute now.”

“Okay, love you mom.”

“Love you too pick you up at 4”


As the door closed behind him, the tears began to blur her vision.

 

“No tears Susanna,” she told herself. “Today is the day.” Today was the day she was going to make it. She showered, packed her things, and got dressed for work. She put her stuff on the kitchen counter and began to walk towards it. 


“Today is the day,” she murmured to herself. “Today I will walk in.”

As she saw the pink and purple bead curtains sway side to side, she remembered Grace’s laughter. The smile that was Susanna’s everyday motivation. The smile that was missing two front teeth. 


As she stood in front of the door, she began to tremble. She put out her left hand and pushed the beads aside as she nervously reached her right hand toward to the door knob.

“On the 3,” she said to herself. “One, two-o-o, thhre-e-e”.

Push. 

It had been three years since she saw Uncle Earl’s dollhouse. The vanilla essence brought back carpool, candy store visits, and father-daughter dances. The vanilla essence brought her to her knees.

“Why! Why Gracie! Why!” she had broke. 


Her cries for Grace were so loud that she didn’t here the front door open.


“Susanna?!” It was her older sister, Nancy. “Oh my goodness Susanna get up.”

“Why Nancy? She was only 5! She was to be at school right now. Why Nancy?

Nancy hadn’t seen her sister cry before, this was all very new to her. 

“Susanna it’s going to be alright. You’ll get through this. You need to let the past go Susanna. Sam needs you. He needs his mom to love and care for him, including his mother calling this new doctor her sister found for her.”

“But, Nancy,”

“No, no don’t speak about the money. It’s taken care of.”

“I can’t accep-”

“Stop. Yes you can. Now get up and go find out if this Dr. Lawrence Fisher is really as phenomenal an as they say he is. “

“Thank you Nancy.”

-----------


The doctor’s office was just 2 streets down from her work. She decided that she’d go to work and then go to Dr. Fisher’s when she was settled.

As she drove into the parking lot, something felt out of place. Everyone who was usually inside during their hours was actually outside. She parked her car and spotted Lucia, her friend. 

“Is there a fire drill going on?” said Susanna. 

“Um, no. We just liked how, um, nice the weather was. You know how suffocating those cubicles can be”

“Yeah, I guess. So I guess I’ll see you inside?”

“Oh yes! Most definitely!”


As Susanna walked towards her cubicle, she began to see more and more flowers appear out of other people’s cubicles. The smell of her favorite Cinnamon Spice cake grew stronger as she approached her cubicle. 


“Oh no,” she thought to herself. “Martin.”

A middle aged, athletic built man jumped from behind Susanna’s cubicle’s wall.

“You bet it’s Martin! The one and only Martin. The man who’s meant for you Martin. The only Martin in your-”

“Stop!”

“I’m sorry, did I do something wrong? Oh no, it’s the cake isn’t it? I knew there wasn’t enough powerdered sugar on it!”

“No Martin, it’s not the cake. This is so sweet of you to do all this for my-”

“Our!”

“Our work anniversary. But today just isn’t the day. Okay?”

“Okay.” 

“Thank you Martin, I’ll help you clean up”

“Does this mean I need to cancel the massage appointment I had for?”

Susanna knew she was not going to pass up on that opportunity.

“Oh no! I would hate for that to go to waste, I’ll just take it for now and drive there myself.”

“Oh okay, good!” exclaimed Martin “It’s two streets down, in that new doctor’s office. And Susanna?”

“Yeah?”

“I love you”

“Great, thanks for the coupon!”

Susanna had never driven as fast she did for that massage session. In less than 5 minutes, she was welcomed into a rejuvenating advanced massage center that left her mesmerized. It wasn’t like anything she had seen before. She knew she deserved this. 

She walked up to the service lady and handed her the massage coupon.

“Hello!” screeched the computerized service lady. “I am Flo! I love the rejuvenation center! I feel so rejuvenated! How can I help you today?”

“One massage please.” This was the happiest Susanna had been in a very long time. 

“Great! Change into a massage suit and wait in the jacuzzi until we get to your turn.”


There were already 3 ladies in the jacuzzi. 3 ladies that seemed a bit off to Susanna. Then again, since the accident, a lot of things seemed off to her. But these ladies were especially bizarre

“You’re not crazy Susanna” said the blonde lady.

“Pardon?” 

“You’re not crazy Susanna” repeated the blonde.

“Yes she is, she’s psychotic” said the red heard.

“I am not psychotic!”

“Yes you are,” said the 3rd women in the jacuzzi. “You are a slimy murderer who killed her husband and daughter!”

“LADIES!” A tall man approached the jacuzzi from the steamy sauna in the back. “My kitties, this is not how we treat our new guests. Understood?”

The 3 ladies stood up in the jacuzzi and their heads flashed a beam of light at the ceiling as they all answered “Yes Mr. Fisher”.

“Mr. Fisher was Sam’s new doctor’s name,”Susanna thought to herself

“Susanna it’s a pleasure, I’ve been looking forward to our appointment.”

“I think you mean my son, he’s the one who will be your patient soon.” 

“No, you. Come with me Susanna.”


Dr. Fisher walked Susanna through a glass tunnel that led to a steel elevator.


“You are to take this elevator to the UG floor. Wait there for me, do not talk to anyone. I’ll take care of Sam.”

“But Dr. Fisher-”

“Call me Lawrence.”


And with that she was off.

The elevator was something out of a haunted house. It was dented and had bullet shots through every wall. Susanna had a headache began to worry, not for herself, but for Sam. Horrid thoughts crossed her mind one after another as she got deeper into the ground. The deeper she went the more pressure she felt on her head.


Then, a light shined through the bullet holes. Susanna began to get light headed.


“What’s going on?” said Susanna


The shadow of a women appeared before her who pick her up.


“The antidote is working. Let her fall.” said the woman


Susanna began to see black and white stripes and fell into a deep sleep


-------


“She needs to choose Lawrence!”

“Nancy, it takes time.”

“No, there isn’t time, we don’t have time. Gracie and George are slowly fading away, we need them back or none of this.”

Susanna was slowly gaining back her consciousness.


“Nancy?”

This wasn’t suppose to happen.

“Lawrence, I thought you said she wouldn’t wake up for a while!” screamed Nancy

“Nancy is that you? Help Nancy, they took me.”

“Lawrence I’ll put her back to sleep.”

“Nancy, don’t. We need to tell her.”.

“Lawrence? Tell me what?” Susanna began to tremble again.

“It’s your choice Susanna, said Lawrence, “It’s all up to you”.

“Choose from what?” 

“If you don’t choose, you’ll face brutal consequences. Beginning with the ones you love most.”


Susanna fell into a state of shock. 

“No,” she said.

“We can bring George and Grace back Susanna,”

“No stop.”

“Susanna, just listen to me.”

“No I don’t want to hear it Lawrence, plea-”

“Susanna!” yelled Nancy. “This is for your own good and for Sam. Okay?”

“You’re in on this Nancy?”


“George lied to you. George didn’t work for an architecture firm. He worked for the NSA. George was working on a very sensitive sensor that if not dealt with correctly, would endanger every single person in this country. This sensor detects natural disasters to bioterrorism plots. The only person who can unlock the sensor is George. He made the sensor so locked that only him or someone with the same blood as him can unlock this sensor.”

Lawrence took over. “However, recently we got word that one of the militants in Kenya has hacked into the NSA’s system and is in the process of unlocking the sensor as we speak.”


“George knew something like this would happen Susanna. He also knew that he would give up his life to protect this country. Therefore, he made the sensor in way that only a certain person’s blood, besides his, could shut off this sensor. An arm’s worth of blood can only shut it off.” 


“Then, I’ll give blood. Give me a vile, I’ll do it myself.” proclaimed Susanna

“You can’t Susanna,” said Lawrence, “we already tested you. You are iron deficient you can’t give up an arm’s worth of blood.”

“But we know who can.” said Nancy


A silence fell among them. Susanna looked to Nancy as she handed her a report.

“Susanna, I tested Sam. He’s the only one who can sto-”


“No! You won’t take another part of my son from me! He is already suffering enough from the last car accident. I won’t let you!”

“It’s the country or Sam, Susanna! Uncle Earl would laugh at you right now.”


“Me Nancy?! You tricked me into coming into this dungeon that has robot women who accuse me to be a murderer!"

Lawrence realized this was all getting out of hand.


“Look Susanna, we can calmly talk about this.”


“No you listen to me, both of you! Do not get close to my son or me every again. You guys got us here in the first place and I want out. George is dead. He is gone. He left us. 

This was his problem. Not mine and certainly not Sam’s.” 


Susanna pulled the IVs out of her arm and pushed her way through the double doors to where she thought led her to the elevators. But instead, it led her to the hospital wing.


Susanna saw a sight she thought she would never see again. 

“Gracie?” 

Nancy ran towards Susanna to stop her. 

“Susanna wait! Don’t get close to her!”


Susanna ran towards Grace and embraced her in her arms. She cried and squeezed her tightly as Grace stood there. Emotionless.

“Gracie, it’s me! Mommy!”


No response from Gracie just a blank stare.


“Gracie?”


“Why did you let her run through the doors Nancy!?” Lawrence wasn’t pleased.


“What did you do to her!” Susanna looks to Grace and begins to frantically shake her. “Gracie! Gracie!”


Gracie looks to Lawrence then looks Susanna


“You must choose Mommy”.


Susanna looked taken a back.

“You must choose Mommy. You must choose Mommy. You must choose Mommy.” Gracie got louder until the phrase into a siren shriek. 

“What’s going on!?” Susanna couldn’t handle the sounds or her daughter anymore. Lawrence ran across the room and grabbed on to a red lever. Once he pulled it down, Gracie turned off. Lawrence looked to Susanna.


“It’s up to you Susanna. Make your choice now or the rest of our nation’s children will end up just like Gracie.


“Fine. But I want to be in the car with him to make sure he’s not in pain.”


Nancy didn’t approve. 


“It’s much to dangerous Susanna, I can’t have you do that.”


“Me in the car, or not blood.”


----------

It was 4 pm. Lawrence’s robot driver and Susanna were on their way to pick up Sam. Susanna began to tremble again. She knew she had to be strong to make sure Sam would be okay, who she spotted limping towards the car. 


“Hey sweetie, how was school?”


“It was awful, I‘ve got blisters all over my legs. Did you call the doctor?”


“I sure did. We are actually going now so buckle up.”


As Sam sat in the car, he realized his mother wasn’t as happy as she usually was to see him.


“Mom,” said Sam.


“Yes sweetie?”


“Are you okay?”


Susanna squeezed out a grin and said “I’m fine”.


“Okay, good.” Sam turned his back to the door and began to tell his mom about how much he loved coming home to be with her. As he turned Susanna saw Nancy’s programmed SUV coming straight for Sam’s door. She clenched his legs and closed her eyes. 


Crash.

Susanna heard Sam screaming for help but she felt restricted. She couldn’t move to hold him and tell it was all going to be okay, that he saved this entire country. All she could see was one of the jacuzzi ladies open her claw hands and grab her unconcious son. The blonde jacuzzi lady looked to Susanna and assured her that everything was going to be okay and that she was not going to remember any of this. Susanna drifted off.

--------


3 Comments

Q4 Articulo #6

Posted by Nikki Adeli in Spanish 3 - Manuel - Y on Friday, May 23, 2014 at 11:18 am

En la este de China, una niña ha sido diagnosticado con cáncer de pulmón. Ella tiene ochos años y es la  paciente más joven de este enfermedad en China. Los médicos dicen que el enfermedad ocurrido porque los niveles altos de polución en China. La niña esta ingresada en el Hospital Oncológico de Jiangsu en Nankín. Ella esta enfermó porque vive junto a una carretera y en su vida corta ha inhalado tipo de polvo y partículas contaminantes. El tamaño de las partículas hace posible para acumulen en los pulmones e pasen al flujo sanguíneo. Las partículas proviene de las emisiones contaminantes de los vehículos, emisiones industriales, químicas y de centrales térmicas, polvo de obras de construcción y arenas microscópicas.

        En los áreas grandes de China, como las ciudades con millones de habitantes, una espesa neblina envuelve carreteras, calles y edificios que causa enfermedad. Frecuentes episodios de tos seca, irritación de ojos, dificultades para respirar y una pesada fatiga sucedan en consecuencia de la niebla.

        En la capital de China, Beijing, las muertes por cáncer de pulmón han aumentado 56 por ciento. En 2010, la contaminación causada 1.2 millones muertes prematuras en todo el mundo, que incluía 140.000 por cáncer de pulmón.

        Este artículo me entristece porque yo odio la contaminación en los ciudades grandes como Beijing y Filadelfia. El cáncer es una enfermedad horrible y non puedo imaginar tener cáncer a una edad tan joven. Cáncer no es divertido para nadie, especialmente una niña de ochos años. esperemos que en el futuro nosotros encontramos una manera de solucionar el problema de contaminación en las ciudades grandes.
Be the first to comment.

Q4 Articulo #5

Posted by Nikki Adeli in Spanish 3 - Manuel - Y on Friday, May 23, 2014 at 11:18 am

Este artículo hablando de un avión que casi caímos la semana pasada. A medida que el avión hacía un descenso rápido, el piloto de Southwest Airlines dijo a los pasajeros que la aeronave se caía.


Se dice un pasajero “"Al principio sonaba como si alguien quisiera hablar por el sistema de altavoces. Luego, se escuchó dos veces algo que parecían disparos en el fondo.”


Otra pasajera, Shelley Wills, dijo “Dijo, 'Vamos a caer'. Y todos miraban alrededor y se preguntaban, '¿Esto es un chiste? ¿Es esto en serio?' Y luego caímos en picada".


Despues de este, el piloto se dice “Estamos en problemas; nos caemos.” Cuando el capitán comunicaba su plan a los auxiliares de vuelo, sin darse cuenta activó el sistema de altavoces en la cabina. Los pasajeros no eran supone que oír “Estamos en problemas; nos caemos.” Un poco de después, el avión hicimos un aterrizaje de emergencia en el aeropuerto de Raleigh, Norte Carolina.


El problema se resolvió, así el avión no caímos. Sin embargo, los pasajeros tenían miedo. Esta eran un accidente grande.


En mi opnión, Southwest Airlines que necesitan para decir que lo siento de todos los gentes en  el avión la semana pasada. Es muy importante .Southwest Airlines que necesitan para decir que lo siento de todos los gentes en  el avión la semana pasada.


Yo tengo simpatico sentimientos para los pasajeros en el avión que casi caímos la semana pasada. Sin embargo, yo pienso que el piloto dijo que ““Estamos en problemas; nos caemos” accidentalmente, y lo siente.


Be the first to comment.

Q4 Articulo #4

Posted by Nikki Adeli in Spanish 3 - Manuel - Y on Friday, May 23, 2014 at 11:17 am

Este artículo hablando de icebergs en Antártida. En Julio, un muy grande iceberg se desprendió de un glaciar. Es possible esto le crea problemas para las rutas marítimas. ¡Se estima que el gran bloque de hielo tenga un área de alrededor de 700 kilómetros cuadrados!


Dijo Robert Marsh, científico de la Universidad de Southampton en Inglaterra, en un comunicado de prensa esta semana, “Un iceberg de ese tamaño podría sobrevivir por un año o más y podría dirigirse hacia el norte en ese tiempo y terminar cerca de rutas marítimas en el Océano Austra.”

Los investigadores dicen el final del invierno antártico ha derretido algo de ese hielo marítimo y le ha dado al iceberg una ruta hacia el mar abierto.


La separación del gran iceberg ha sido un proceso extenso. La grieta que la produjo fue detectada en octubre de 2011. Los investigadores dicen que será la primera vez que se rastrea el recorrido de un iceberg tan grande, algo que cobra cada vez más importancia en tanto aumentan los efectos del calentamiento global.


En mi opinión, este es un muy serio topica. Este probleme necessito attención de ientíficos, investigadores, politicions, todos los gentes que se preocupan de el mundo. Calentamiento global neccessito un soluccion, rapido. Nosotros no poder continuamos como este.  Nosotros necessitamos prestar atención de este problema. Es muy importante para nosotros, nuestras niños, y nuestras niños niños.


Yo piesno que un muy grande iceberg tenga un área de alrededor de 700 kilómetros cuadrados se desprendió de un glaciar es loco.
Be the first to comment.

Q4 Articulo #3

Posted by Nikki Adeli in Spanish 3 - Manuel - Y on Friday, May 23, 2014 at 11:16 am

Este artículo hablando de la condena contra Chevron por contaminación en la Amazonía.


Entre 1964 de 1992, Chevron construyó y operó pozos en 15000000000 metros cuadrados. En estos metros cuadrados donde vivían unas 80 comunidades indígenas. En 1993, el juicio contra la empresa transnacional Chevron Texaco fue interpuesto de cinco nacionalidades indígenas amazónicas de Ecuador.


Los nacionalidades indígenas amazónicas de Ecuador fue interpuesto el juicio porque ellos querían reparación de los daños causados a la salud y al ambiente por el uso, según ellos, de tecnología barata, pero obsoleta, en las operaciones de explotación petrolera. La jucio estaba en litigio legal en cortes nacionales e internacionales para 20 años.


Corte de Ecuador ratificado condena contra Chevron por contaminación en la Amazonía. Chevron se necessito a pagar 8,646 millones de dólares. Originalmente Chevron se necessito a pagar 19,000 millones de dólares.


Se djo Humberto Piaguaje, líder de la Unión de Comunidades Indígenas de la Amazonía. “La cantidad de dinero es insignificante, porque comparando con las vidas humanas que hemos perdido y durante tantos años, eso es mucho más incalculable que el valor.”


En mi opinión, es un bueno cosa por Chevron a pagar muchos dolores. Yo estoy feliz porque  el corte de Ecuador ratificado condena contra Chevron por contaminación en la Amazonía. Yo estoy feliz por los gentes se afectado por este decision. Si, es mejor que Chevron a pagar 19,000 millones de dólares de pagar 8,646 millones de dólares, perro es una buena cosa de  todos modos. Yo deseo todos los companias necessito a pagar por sus errores.


Be the first to comment.

Q4 Articulo #2

Posted by Nikki Adeli in Spanish 3 - Manuel - Y on Friday, May 23, 2014 at 11:16 am

Hay un video que ha sido transmitido a nivel mundial sobre photoshop. Es la increíble e impactante transformación de una mujer en 37 segundos en photoshop. El video es la transformación de un modelo de cómo pasa de ser una mujer media para tener una extraordinaria belleza sobrenatural con algo de maquillaje y todos Photoshop.

El video fue publicado por Laura Willard Upworthy.com colaborador, quien regresó al canal en YouTube Presidente del Mundo. El video es parte de una campaña de 2012 de la Democracia Global. Él dijo en su blog, que su intención era mostrar cómo se puede cambiar la imagen de una modelo y mostrar a su hija que los cuerpos de las revistas no son perfectos.

Esto realmente golpea a casa para mí. Soy muy consciente de sí mismo y en ocasiones puede tener la autoestima más baja del mundo. Nosotros, especialmente teengaers educan en una sociedad que promueve la imagen corporal saludable y normas imposibles. Es tan triste ver a las niñas aguantan hambre para adaptarse idea de la perfección de la sociedad.

Yo se han visto afectados por los medios de comunicación tanto y para ver el video que en realidad lloré. Me abrió los ojos que algunas personas que parecen tan perfecto no sólo normal, sino incluso peor. Este vídeo es un abridor de ojos grandes y lo recomiendo a todos lo ven.


Be the first to comment.

Q4 Articulo #1

Posted by Nikki Adeli on Friday, May 23, 2014 at 11:14 am

Twitter el nuevo periódico


El 1 de cada 10 adultos estadounidenses obtienen sus noticias en Twitter, se encontró que ser joven, tener más educación y más experiencia de la tecnología. Alrededor del 16% de los estadounidenses dicen que confían en todas las noticias de Twitter. Este artículo está diciendo que cada vez más personas están recurriendo a los medios de comunicación social para fuentes de noticias. 18% de las personas están recurriendo más a twitter que a cualquier otra red de medios sociales.

Creo que esto es tan loco que esto es lo que el mundo está llegando a. La gente no está viendo las noticias o leer periódico para obtener información de noticias. Simplemente se van en su ordenador y la búsqueda en Internet. Esto es tanto una cosa buena y mala. Es más fácil tener acceso a lo que tal vez más personas serán informados sobre el mundo. Por otra parte se está haciendo poco a poco deshacerse de las tradiciones de noticias y los periódicos que hemos construido. Que me hace pensar en cómo la tecnología realmente ha cambiado nuestras vidas. También me hace pensar en que nuestra vida va a ir.

Nuestro mundo está cambiando tan rápido y me pregunto cómo nuestro futuro se va a ver. Habremos coches voladores? Tendremos robots? Me pregunto cuánto diferente la próxima generación va a crecer. Que es realmente aterrador pensar, sobre todo americanos.


Be the first to comment.

Q3 #5: ¡Adíos!

Posted by Nikki Adeli in Spanish 3 - Manuel - Y on Monday, March 10, 2014 at 1:07 pm

La persona, Edna Krabappel, que era la voz de la maestra de Bart en el programa de los simpsons muerto  en octubre.  Actuó en el espectáculo desde que salió. ‘Los Simpson’ encontraron una forma sutil de rendir un homenaje. Carácter Barts normalmente escribe en la pizarra, pero Bart sólo estaba escribiendo una frase: “Te vamos a extrañar, señora Krabappel”.  Wallace, siempre habló de sus batallas con cáncer de mama. Se sometió a una cirugía para en marzo se tomó un descanso de la serie durante este tiempo. Ella se dijo que era claro por cáncer después de la cirugía. Ella murió de complicaciones de la neumonía. Al final del episodio, ‘Los Simpson’ mostró una imagen del personaje, esta vez con el mensaje: “En memoria de Marcia Wallace”.

A veces me miro los simpsons en la televisión y estoy triste saber que alguien murió. Siempre me gustó el maestro, ella era muy divertido y una buena persona.

Me hace pensar en cómo la gente puede morir y cuán preciosa es la vida. Mi mejor amigo está enamorado de los simpsons, y tenía su propio pequeño funeral. Que fue un poco por la borda.

Creo que Los Simpson es un gran espectáculo y fue triste que perdieron un personaje. Me pregunto si bart tendrá un nuevo maestro o si, finalmente, el programa llegará a su fin. No sé cuál es mi mejor amiga va a hacer! Espero Edna Krabappel descansa en paz.


http://cnnespanol.cnn.com/2013/11/04/los-simpson-rinde-homenaje-a-marcia-wallace/
Be the first to comment.

Q3 #4: Bebé, Bebé, Bebé, No

Posted by Nikki Adeli in Spanish 3 - Manuel - Y on Monday, March 10, 2014 at 1:04 pm
La gira de Justin Bieber de América del Sur tenía cosas raras. Tras las denuncias que sucedieron en Brasil y Argentina ahora está acusado de no respetar la bandera de Argentina en uno de sus conciertos en el país. En un vídeo de presentación el 9 de noviembre Bieber, la cantante parece utilizar sus pies y la base de su micrófono para patear y barrer dos banderas lanzadas contra él en el escenario.
Después de ser criticado por los aficionados en el país, Bieber fue a Twitter el 13 de noviembre para pedir disculpas. Según el artista, 19, pensé que era la ropa de barrido, posiblemente, un sostén o una camiseta en lugar de una bandera. 
Odio justin bieber tanto. Ni siquiera es que tengo un problema con su música. en primer lugar, que ni siquiera tiene música. Es alboroto que suena horrible y él es sólo famosa por ser caliente. segundo, es uno de los más irrespetuosos con vida. Las personas que son de privilegio y la media son las peores personas en el mundo. 
Es asqueroso cuando piensas que eres mejor que todos porque tienes dinero y tratar a todos como campesinos. Él tiene que ser detenido y convertirse en una mejor persona. ¿No aprendió nada mejor como un niño? Una vez que llegó a decir de Ana Frank hubiera sido un Belieber Espero que él está bien, aunque yo lo odio porque todo el mundo merece ser bien. 

http://cnnespanol.cnn.com/2013/11/14/justin-bieber-se-disculpa-por-barrer-y-patear-la-bandera-de-argentina/


Be the first to comment.

Q3 #3: Violín

Posted by Nikki Adeli in Spanish 3 - Manuel - Y on Monday, March 10, 2014 at 1:01 pm
Este Sábado, el violín que tocó durante el hundimiento del Titanic fue vendido. Vendió por más de 1,7 millones de dólares a una casa de subastas en Gran Bretaña. El violín era usado en la banda que tocó sobre el Titanic. Los sobrevivientes dicen que la banda tocó  para tranquilizar los pasajeros durante el hundimiento. La personas de la banda eran héroes aquella noche.  Sopin dijo, "No puedo pensar en algo más sea más icónico que provenga de esa nave".  Sopin, tiene entre 300 y 400 objetos del Titanic. En el cine del Titanic, la banda estaba tocando “My God, to Thee”.  El violín fue hallado en el ático de una casa en Gran Bretaña pero era dañado. Más tarde el violín fue autenticado.  Muchos de los artefactos encontrado después del hundimiento están en museos en todo el mundo.  Los exhibiciones del Titanic han generado millones de dólares. Un menú del restaurante fue vendido por casi 100,000 a la misma casa de subastas.

El Titanic es mi película favorita. Esto se refiere a mí, porque me hubiera gustado tener el violín. Por supuesto, yo no tengo el dinero. También, me encanta Leonardo Dicaprio y él estaba en el Titanic. El Titanic era un barco muy triste. Es triste el pueblo murieron, estoy seguro de que tenían aún mayores historias que la película.


"Venden El Violín Que Tocó Mientras Se Hundía El Titanic Por 1,7 Millones." CNN En Espaol Ultimas Noticias De Estados Unidos Latinoamrica Y El Mundo Opinin Y Videos RSS. N.p., n.d. Web. 20 Oct. 2013.


Be the first to comment.

Q3 #2: Desprendimiento De Tierras

Posted by Nikki Adeli in Spanish 3 - Manuel - Y on Monday, March 10, 2014 at 1:00 pm

Ingrid es un huracán con lluvias y vientos muy fuerte. Ingrid pasó sobre dieciocho estados. Las personas de México buscó refugio. Siete personas son muertos, un menor se desaparecido y más se están descubriendo. Algunas personas están atrapados bajo de los derrumbes. En Hidalgo las lluvias provocó 79 derrumbes. El huracán Ingrid es muy traumático y triste para las familias de los muertos y otro ciudadanos también. Las casas de los ciudadanos son destruido y ellos no tienen casas. Ahora necesitan 472 trabajadores, 95 grúas, 141 vehículos y dos helicópteros  equipos de comunicaciones y los insumos para los trabajos de reparación.

Este artículo es tan triste. Me siento muy mal por las familias y las personas afectadas por esta. No me puedo imaginar que esto ocurra en Filadelfia. Fue gracioso porque yo estaba escuchando la canción arrolladora cuando leí este. El artículo no era divertido. La coincidencia. México es un buen sitio de viajes, y yo siempre quería ir allí. Mi amigo Estefan es de México. Él es un buen amigo. Espero que nada de esto afecta a su familia. Espero que los animales de México son bien también. Me gustan los animales. Esta es la primera vez que oí hablar de esta Ojalá supiéramos más sobre el mundo. Escribir estos artículos españoles es difícil, pero he aprendido mucho hasta ahora.


"La Crónica De Hoy | Alerta En 18 Estados Por Ingrid." La Crónica De Hoy | Alerta En 18 Estados Por Ingrid. N.p., n.d. Web. 13 Sept. 2013.


Be the first to comment.

Q3 #1: Calentamiento Global

Posted by Nikki Adeli in Spanish 3 - Manuel - Y on Monday, March 10, 2014 at 12:59 pm

En la este de China, una niña ha sido diagnosticado con cáncer de pulmón. Ella tiene ochos años y es la  paciente más joven de este enfermedad en China. Los médicos dicen que el enfermedad ocurrido porque los niveles altos de polución en China. La niña esta ingresada en el Hospital Oncológico de Jiangsu en Nankín. Ella esta enfermó porque vive junto a una carretera y en su vida corta ha inhalado tipo de polvo y partículas contaminantes. El tamaño de las partículas hace posible para acumulen en los pulmones e pasen al flujo sanguíneo. Las partículas proviene de las emisiones contaminantes de los vehículos, emisiones industriales, químicas y de centrales térmicas, polvo de obras de construcción y arenas microscópicas.

En los áreas grandes de China, como las ciudades con millones de habitantes, una espesa neblina envuelve carreteras, calles y edificios que causa enfermedad. Frecuentes episodios de tos seca, irritación de ojos, dificultades para respirar y una pesada fatiga sucedan en consecuencia de la niebla.

En la capital de China, Beijing, las muertes por cáncer de pulmón han aumentado 56 por ciento. En 2010, la contaminación causada 1.2 millones muertes prematuras en todo el mundo, que incluía 140.000 por cáncer de pulmón.

El calentamiento global es tan triste China es un gran lugar y no me gustaría que este tipo de cosas a nadie. Espero que el pueblo de China están bien.


"Una Niña China Enferma De Cáncer De Pulmón Con 8 Años Por La Contaminación."ABC.es. N.p., n.d. Web. 05 Nov. 2013.


Be the first to comment.

Stay Safe Kids!

Posted by Nikki Adeli in Physics - Echols - A on Tuesday, December 17, 2013 at 6:36 pm
Physics Qr2 BM
Be the first to comment.

Articulo #3: Qr. 2

Posted by Nikki Adeli in Spanish 3 - Manuel - Y on Monday, December 16, 2013 at 11:10 am

Word Count- 206


Este artículo hablando de la reciente tifón en los Phillipines. Specificamente, este artículo hablando de los niños en los hospitales.


En un hospital, todos los personas en la hospital aplaudieron cuando una niña nacieron. Por fortuna, el nacimiento no tenía problemas. El nacimiento era en la zona Tacloban. El tifón golpeó de Tacloban con muy fuerce. La nacimiento es una pequeña victoria, por que en la área, hay mucho muerte ahorita.  


La área está recibiendo ayuda de muchos países. Por ejemplo Singapur, Alemania, Noruega, y otros países está dando ayuda de está y otros áreas en los Filipinas. Los países está dando ayuda porque en la semana pasada, un tifón impacto los Filipinas.


Yo creo que es muy importante por otros países ayudar los Filipinas ahorita. Es una problema grande. En el mes pasada, Este artículo hablando de la reciente tifón en los Phillipines. Specificamente, este artículo hablando de los niños en los hospitales.


Tambien, yo piense que mientras los Filipinas es en una crisis, otros países es un una crisis tambien, porque Los Estados Unidos es antipatico. Todos los situaciones que tienen personas que mueren es triste. 

“Sobrevivientes del tifón Haiyan luchan por proteger a los niños en medio del caos”

CNN

http://cnnespanol.cnn.com/2013/11/13/sobrevivientes-del-tifon-haiyan-luchan-por-proteger-a-los-ninos-en-medio-del-caos/


Be the first to comment.

Dos barcos caros: Articulo #2 Qr. 2

Posted by Nikki Adeli in Spanish 3 - Manuel - Y on Monday, December 16, 2013 at 11:05 am

Word count - 214

Este artículo fue sobre dos barcos caros destruidos por un incendio grande. El daño fue Doscientos cincuenta mil dolares. El fuego comenzó de un corto circuito. Fue un barco, a la otra, y me dolió la cubierta. Nadie resultó herido. La policía y los bomberos llegaron en buen momento porque dejaron el primero justo antes de que estaba a punto de conseguir más grande. No hoy partes del barco izquierda.

Este artículo estaba triste porque los barcos eran muy importantes en ese lugar. También me recordó cuán caro barcos son debido a los daños. Me gustaría que saber más información sobre cómo el corto circuito provocó el incendio. También el artículo no dice que estaba en el barco y lo hicieron.

Además, se trataba de la pérdida de algo. Quería leer más sobre lo que se llevaron y cómo sucedió. Nunca he estado involucrado en algo como esto antes y espero que nunca estoy. Me pregunto por qué los dos barcos fueron tan importantes para la ciudad. ¿De donde vienen los circuitos? ¿Que les hizo un incendio? ¿Los barcos fueron históricos? Espero que traen nuevos barcos porque fue una gran pérdida para el medio ambiente

Los nuevos vocablos que aprendí son 'barcos, pérdida' y mucho más. 


http://www.elnuevodia.com/sequemandosbotesenmarinadefajardo-1607518.html

"Se Queman Dos Botes En Marina De Fajardo." El Nuevo Dia. N.p., n.d. Web. 09 Oct. 2013. <http://www.elnuevodia.com/sequemandosbotesenmarinadefajardo-1607518.html>.

Be the first to comment.

Es Mortal Qr2 Reflection #1

Posted by Nikki Adeli in Spanish 3 - Manuel - Y on Monday, December 16, 2013 at 11:01 am

En dos mil diez, 223,000 personas murieron porque ellos tiene cáncer. La aire tienes contaminación cuando personas juegan con tecnologías. El contaminación es muy peligroso para el contaminación es en la atmosférica. Muchos personas tiene cáncer y es muy mal. En científica, tumores son en pulmón y vejiga. Las personas respirar la aire y es difícil limpiar la aire. En China, hay muchos fábricas y el contaminación es súper mal y hay más personas van a respirar el humo. Es importante cuando el mundo tiene calor. También, Agencia Europea del médico dijo 90% personas respira mal aire.

En Estados Unidos, muchos gentes conducen un carro. Es importante cuando personas no caminan. Nosotros come muchos y somos gordos. Yo pienso, personas deben montan un bicicleta.   

Mi familia en Iran tiene carro y nosotros vivimos lejos. A veces mis hermanos y yo usamos bicicletas en la parque. Necesitamos un carro ir a ciudad y es rápido. La gasolina es muy cara. Yo sabo muchos personas tienen cáncer. Hay diferentes cáncer y gentes debe ir a hospital. La doctor ayudó mi amigo pensar bien. La aire en el mundo es horrible. Es triste cuando personas muere porque la aire. Personas usan muchos gasolina y electricidad.



"La OMS Considera Comprobado Que La Contaminación Atmosférica Causa Cáncer." - 20minutos.es. N.p., n.d. Web. 18 Oct. 2013. <http://www.20minutos.es/noticia/1951292/0/contaminacion/causa-cancer/oms/>.
Be the first to comment.

Daddy's Little Girls

Posted by Nikki Adeli in English 3 - Pahomov - D on Monday, December 9, 2013 at 4:12 pm

The culture of marital engagement in “Taming of the Shrew”, and the era Shakespeare wrote this play, was that if a man was interested in a woman, he would just go straight to her father and the “business transaction would be made. Since Baptista had two daughters, Katherine and Bianca, he had many suitors at his front door. He would situate and pick them by the amount of deeds they had and his daughter was handed over. However in the movie “My Big Fat Greek Wedding”, set in modern times, the culture is much different. Toula Portokalos is a 30 year old greek girl who works at her family’s restaurant and still lives at home with her parents. She didn’t have any Greek Suitors at her door like her family imagined her to have nor did she meet any guys who were interested in her. Until Ian came around. Ian and Toula are deeply in love, so, it would assume that this was her soulmate. False. Ian isn’t Greek, which is a problem of great magnitude for Toula’s family, especially her father. These texts reflect not only has there been a change in culture, but also, a clash between cultures within eras when it comes to kindling a new romance.


Quote 1: “You’re welcome, sir, and he for your good sake.But for my daughter Katherine, this I know, She is not for your turn, the more my grief.” - Baptista Act 2 scene 1

In this quote, Baptista is confused by the fact there is final a suitor, a man named Petruchio, for his ill-fitted daughter Katherine. He was certain that his daughter wouldn’t get a suitor by how bitter and mean she was. When Petruchio, asked for Katherine’s hand, this was Baptista’s warning to not marry his daughter.
Screen Shot 2013-12-06 at 11.08.16 AM
Screen Shot 2013-12-06 at 11.08.16 AM

In the first scene of “My Big Fat Greek Wedding, Gus, Toula’s father, shakes his head in shame because Toula won’t get married to anyone, let alone a Greek. As she takes a deep yawn, he looks to his coke-bottle glasses wearing daughter and tells her “You better get married soon. You starting to look old.” Toula knows that her only purpose in life, as a Greek girl, is to do 3 things in life: marry a greek boy, make greek babies, and feed everyone until the day they die.

Quote 2: “Truly, gentlemen, this is a chancy piece of business. I’ve made a risky investment.” - Baptista Act 2, Scene 1

Once the engagement of Petruchio and Katherine was confirmed, the men of the city, including Baptista, reflected on how the transaction happened. In addition to that, the wedding was in 3 days making this a very fast transaction that usually takes much more time. Baptista understands the risks of this but knows that he is making the right decision on giving away Katherine.


Screen Shot 2013-12-06 at 12.49.19 AM
Screen Shot 2013-12-06 at 12.49.19 AM

Gus doesn’t feel as confident in Toula as Baptista did in Katherine. When Toula got in a relationship with Ian, she knew that since Ian wasn’t Greek, her family would not approve. She hid her relationship with Ian from her family as long as she could until a 3rd cousin of hers saw her and Ian making out in a Denny’s parking lot and decided to tell her mom who decided to tell Toula’s first cousin’s mom who told Toula’s mom. When Gus heard of this he was infuriated especially because Ian came to the house to ask Gus for Toula’s hand in marriage. During this dialogue, Ian tells Gus that Toula is 30 she should be able to make decisions on her own. Gus tells him “I am the head of this house...you may not date me daughter!” He then later tells Toula and her mom that it was to big of a risk to let Toula go to school and he went against his gut causing for his daughter to be involved in a relationship with a man who isn’t Greek.

In the end, Toula and Ian decided to push through this obstacle and stay together. They decided to get married and at the wedding, Gus gives Ian and Toula the deed to a house he bought for them. As kind as this gesture was, he didn’t let them get away because he bought the house next door to them to make sure he was involved in everything they did. In “The Taming of the Shrew”, the risk Baptista took to marry Katherine to Petruchio didn’t end up as well as Katherine imagined due to the fact that Petruchio would starve her and bother her. But as strong as Katherine was she pushed through and stayed by her man. Even though these two stories were far in time and era, there are many similarities when it comes parental inferences in their child’s romantic relationships.

Works Cited:

  • Zwick, J., Wilson, R., Hanks, T., Goetzman, G., Vardalos, N., Corbett, J., Kazan, L., ... HBO Video (Firm). (2003). My big fat Greek wedding. New York, NY: HBO Home Video.

  • Shakespeare, William. The Taming of the Shrew. Ed. Barbara A. Mowat and Paul Werstine. New York: Washington Square Press, 1992. Print.

Be the first to comment.

“Guatemala divida ante la peticin de anular la codena a Ríos Montt”

Posted by Nikki Adeli in Spanish 3 - Manuel - Y on Friday, November 15, 2013 at 7:05 am

En este artículo, se dice un tribunal condenó a Ríos Montt por genocidio y crímenes de guerra, y le dio ochenta años en la cárcel. Perro, Ríos Montt ahora es una libre hombre por que gentes con autoridad se dice Ríos Montt es innocente. 

Ríos Montt dijo que la sentencia era un “show político internacional que va a afectar el alma del corazón del pueblo guatemalteco”.

Ríos Montt se dice mentiras! Yo no creo Ríos Montt es inocente. En la semana pasa, yo visitado Guatemala para estudiar Español. Yo estaba en Guatemala para un mes. Durante mi visita, yo aprendí mucho de Guatemala y la historia de Guatemala. Yo leí mucho libros, incluye “Yo Soy Rigoberta Menchú.” Yo visitado lugares que eran campamentos guerrilleros durante la conflicto interno. Yo aprendí mucho de la conflicto interno y Ríos Montt. 

Yo no puedo creer Ríos Montt se determinó ser inocente. Ríos Montt es responsible por la muerte’s de muchos gentes indígena. ¡Ríos Montt es responsible para un genocido! Necesito un otro juicio ahorita.

Los gente’s que dice Ríos Montt no es responsible por genocido o crímenes de guerra es empresarios. Ellos tienen una razón para diciendo Ríos Montt, y la razón es dinero. El Tribunal condenó a Ríos Montt por genocidio y crímenes de guerra. ¿Por que los empresarios que dice Ríos Montt es innocente? Por que los empresarios que dice Ríos Montt es inocente es amigos de la gobierno y Ríos Montt.

Navi Pillay, La Alta Comisionada de las Naciones Unidas para los Derechos Humanos, creo que Ríos Montt es una criminal. Navi Pillay no esta incorrecto.

http://cnnespanol.cnn.com/2013/05/14/guatemala-dividida-ante-la-peticion-de-anular-la-codena-a-rios-montt/ 

 

Be the first to comment.

Q1 Reflection #7: Granger practicará esta semana

Posted by Nikki Adeli in Spanish 3 - Manuel - Y on Friday, November 15, 2013 at 12:07 am
Este artículo habla de un jugador de baloncesto en la NBA. El se llama Danny Granger, es un Forward para los Indiana Pacers. Ahora los Pacers son primos en la liga y han ganado sus primeras ocho partidos. Granger ha jugado en cincos partidos en año pasado por que tiene una lesión en su gamba, y tambien no a jugado este año. Pero, Danny Granger ha comenzado a practicar este Miércoles per il primo tiempo en casi un año. Los fanáticos serán muy contentos y excitados por el retorno de Danny Granger por que es jugador que puede ser un líder y ganar partidos. Granger es jugador que le gusta tirar el baloncesto mucho. Con esto comenzó histórico los Pacers puedan intimidando los otros equipos con la presencia de Danny Granger. El entrenador de Granger era muy cauteloso con la lesión de Danny porque quieres que el puede jugar en Indiana para muchos otros años. Entonces, Danny ha tomado su tiempo para retornar. Danny ha tenido dos lesiones a tiempos diferentes. El primo era el año pasado en su tendón de la rodilla izquierda. El segundo era en Octubre en su pantorrilla izquierda. Será Interesante para ver como Danny juega en ritorno y se puede ayudar su equipo a restar el número uno.

Word Count: 213

http://espndeportes.espn.go.com/news/story?id=1954459&s=bas&type=story
Be the first to comment.

Q1 Reflection #6: “Fotografían a un 'unicornio asiático', uno de los animales más raros del mundo”

Posted by Nikki Adeli in Spanish 3 - Manuel - Y on Friday, November 15, 2013 at 12:05 am

Este artículo hablando de un typo de animal más singulares de la Tierra, el saola. Debido a que son tan poco comunes, y bastante esquivos, el saola se conoce como el "unicornio asiático". Tambien, el saola se conoce como el "unicornio asiático" porque que tiene dos cuernos paralelos bastante cerca el uno del otro. 

En este semana, científicos capturaron imágenes de un saola en un forestal. Comentó William Robichaud, coordinador del Grupo de Trabajo del Saola de la Comisión de la Unión Internacional para la Supervivencia de las Especies de la Naturaleza "Estas son las fotografías más importantes de animales salvajes tomadas en Asia y quizá en el mundo, por lo menos durante los últimos diez años" en un comunicado de prensa del Fondo Mundial para la Vida Salvaje.

Muchos saolas se quedan atrapados en las trampas de alambre que los cazadores colocan para atrapar. Yo pienso que este es muy triste. Perro, el hecho de que científicos capturaron de un saola en un forestal significa saolas está en menos peligrosa. 

¡Yo pienso que este es increible! Me gusta animales mucho, especialmente animales extrañas como el saola. Yo creo que el saola es muy guapo y bonito. Estoy muy emocionado por los fotografías de los científicos capturaron de un saola un forestal. Me pregunto que otros animales extrañas yo no se en el mundo. Yo pienso que es mucho. Yo no quiero saber todos los animales en el mundo, porque yo pienso que es importante tener misterio en naturaleza. 

Me gusta el hecho de que no hay saolas en cautiverio. Me gusta pensar de el salvaje saola en naturaleza, sin jaulas o otros cosas de humanos.

Word Count: 250 

http://cnnespanol.cnn.com/2013/11/13/fotografian-a-un-unicornio-asiatico-uno-de-los-animales-mas-escasos-del-mundo/




Be the first to comment.

Cristiano Ronaldo

Posted by Nikki Adeli in Spanish 3 - Manuel - Y on Friday, October 11, 2013 at 10:03 am
Este artículo habla de como Cristiano Ronaldo es un meraviglioso jugador de fútbol y también persona. En un encuentro contro Chelsea in Miami, Florida, el equipo de Ronaldo, (Real Madrid) era interrumpido por un niño que deseado dar un abrazo a Ronaldo. Cristiano Ronaldo ha decidido a ayudar este niño que se llama Ronald Gjorka. La liga acusa Ronald invasión de propiedad privada y desorden público, pero Ronaldo cree que Ronald es muy gentil y no intentaba hacer mal. Entonces, después que la liga dice que Ronald debería estar deportado a Albania, Cristiano escribe una lettera a la liga de Miami diciendo que era solamente un inocente abrazo. Esto demuestra que Cristiano Ronaldo puede ayudar su equipo y su sociedad, y también que le gusta sus admiradores. Ronaldo nunca deseado que seguridad llevaron Ronald por que Cristiano le gusta hablar con los admiradores de fútbol y sabía que Ronald no era peligroso. Más tarde Ronaldo descubrí que Ronald esta un estudiante que tiene una beca, pero su padre esta muerta.  Cristiano Ronaldo hizo todo en su poder que Ronald no esta deportado, entonces Ronaldo alquilado un abogado para ayudarlo revisar los cargos criminales. Este artículo es un buen ejemplo que también las personas famosas son muy gentil y amable.

Word Count- 209

Link: When I went back to get the link http://www.abc.es/failover/pagina.html it said it no longer existed. 
Be the first to comment.

Los premios Billboard de 2013

Posted by Nikki Adeli in Spanish 3 - Manuel - Y on Friday, October 4, 2013 at 10:43 am
A partir de drásticas actuaciones y terminando con saltando en la audiencia, los premios billboard 2013 fueron increíbles! Muchas celebridades se llevaron a casa. Cantante y compositor taylor swift Se llevó a casa 8 premios. Esto no era una sorpresa por que swift taylor hizo en el Grammys y CMAs. Ella superar a la competencia como One Direction, Adele, y Mumford & Sons. Cuando Taylor Swift habló agradeció a sus admiradores más. Entonces ella bromeó acerca de su relación. Taylor dijo a sus fans “Eres la mejor y más larga relación que he tenido. Gracias."

Los premios no se detuvo porque fenómeno del pop Justin Bieber due el siguiente. Justin bieber ganó el premio por las redes sociales y el premio de hito. Cuando era el tiempo para Justin Bieber hablar, dijo que es seria y decidida y le encanta la música. Además Justin Bieber agradeció a su familia, amigos y Jesús Cristo. 

La noche continuó con actuaciones asombrosas por Bruno Mars, Selena Gomez, The Band Perry, David Guetta, Chris Brown, y Prince. También, además, Prince le fue otorgado un premio honorífico.

Finalmente, cuando la noche estaba terminando, cantante y compositor Miguel accidentalmente saltó a la audiencia. La cámara mostró una cara de mujer coz por Miguel. Ella está bien. 

Word Count- 209

http://www.abc.es/cultura/20130520/rc-taylor-swift-reina-premios-201305201329.html

Be the first to comment.

¡Ay dios Miley!

Posted by Nikki Adeli in Spanish 3 - Manuel - Y on Friday, September 27, 2013 at 11:27 am
​Nikki Adeli, Señorita Manuel

Miley y hannah montana, en mi opinión, son oficialmente dos personas muy diferentes. Hannah montana fue respetuoso y sincero. Miley cyrus es totalmente lo contrario. Yo creo que esto es lo que Miley quería. Miley quiere que la gente al ver que no es el medio actriz disney. Ella es ahora su propia imagen. 

Miley Cyrus no quiere que pase un día sin que se hable de ella. Ahora, ella es “provocativo”. Comienzo con twerking en el escenario a cantando desnudos en su vídeo de la música. No cabe duda de que el afán protagonista y exhibicionista de la cantante no tiene límites. ¡Todo el mundo es confuso! 

Algunas personas creo que Miley no tiene un cerebro. Yo creo esto es incorrecto. el sufrimiento es Miley. Se divorció con su compañero, Liam, y esto es cómo ella muestra su dolor. En su video para la canción “Wrecking Ball”, Miley está lamiendo un marillo. La gente pensó “qué extraño!”. Más tarde en el mes, Miley dijo revista de Rolling Stones sulamiendo un martillo significa le gusta el dolor. Esto es muy extraño para mí. 

Yo escogí este artículo porque Miley cyrus es un tema popular entre mi edad. Un tema popular y controversial. Por eso yo decidí escribir sobre Miley. 


Word Count - 210

"El Peor «twerking» De Miley Cyrus Tiene Como Protagonista a Un Mono." ABC.es. N.p., n.d. Web. 26 Sept. 2013.

Be the first to comment.

Tendencias en New York Fashion Week

Posted by Nikki Adeli in Spanish 3 - Manuel - Y on Thursday, September 12, 2013 at 11:21 pm

"Esta colección está inspirada por el amor al deporte, especialmente al fútbol. El deporte es el mas que une a la gente sin importar la afiliación política, une a un país de muchísimas maneras." dijo Campos.

Latinas tendencias en New York Fashion Week como a incorpora culturas de su país que es grande para la comunidad hispana porque hay muchos diseñadores latino en New York Fashion Week este año. Esto es bueno porque esta exposición es positivo para la comunidad hispana.Los diseñadores hispanos en Fashion Week este año son Francisco Costa, Narciso Rodriguez, Angel Sanchez,  Edwin D' Angelo, Gabriela Perezutti, Carlos Campos , y mucho mas. 

Decidí elegir este artículo porque me encanta aprender sobre la moda y cómo se presenta. Siempre he amado Rebecca Minkoff. Después de que completé este artículo, aprendí que Rebecca Minkoff usó el folklore mexicano en su ropa. Rebecca Minkoff hizo esto por imprimiendo un "vamos México" en una de sus camisetas y usando estampados aztecas en otras ropas también. 

Este artículo tenía mucho vocabulario difícil para mí para leer pero en lugar de traducir las palabras, leí el artículo dos veces. Entonces, si las palabras eran en blanco para mí, yo traducido a palabras como “diseñadores”, “consagración” o frases como “ni acercase al exotismo” y “arrinconado en el calzado”,


http://www.pontealdia.com/estados-unidos/latinos-marcan-tendencias-en-new-york-fashion-week.html

Word Count- 210
Be the first to comment.

An Ode: No Longer Waiting for Superman

Posted by Nikki Adeli in English 2 - Pahomov on Tuesday, March 19, 2013 at 10:11 am
Ode: No Longer Waiting for Superman
When studying for numerous exams, 
you thought of your future.
The endless days and nights that you would stay up to make the world shine bright.
You gave it your all when it came to certification, 
smile wide and professionally worn,
gave you that honor. 
The Praxis shot you down many times, 
to make sure you were worthy to care and safeguard my future.
You were worthy.
You beat the odds and went out your way.
Paid for dry-erase markers and construction paper,
so your children could see a better day. 
The day when they could stand among others and hold their ground,
due to your arithmetic and phonics knowledge you provided their way. 
This is my thanks to you,
as the child that looks up to you everyday.
You inspire my choice of words,
influence the paths I choose. 
Thank you dear superman of mine,
for that is you. 
Be the first to comment.

Como Vestirse para Una Fiesta

Posted by Nikki Adeli in Spanish 2 - Bey on Thursday, January 24, 2013 at 6:22 am
By: Adela, Sierra y Sabian

Q2 Spanish BM from Nikki Adeli on Vimeo.

55 Comments

To be the Same, or not to be.

Posted by Nikki Adeli in English 2 - Pahomov on Thursday, January 17, 2013 at 11:20 am
Whether it’s in school, at home, or at soccer practice, every kid wants to fit in. The thought of knowing that you are different than everyone else, as a child, is hard. I found myself being that kid. Growing up in Mississippi, I didn’t sound like anyone because my parents were from Iran.  They taught me English at home to make sure I spoke English properly rather than having an accent. I didn’t mind it until people starting pointing it out beginning in grade school.  

“Okaay classs. We’re goin ta foe-cus on thuh Alphabet.” said Mrs. Scholtes. “Say Ayyyy. This is the letter Ayyy.”

“Ayyyyy” said everyone in the class except me.

“Nikki hun, darlin’ you neeeeed to participate. Ya hear?” 

“But that’s not how you say it. My mom said it’s Ay. Not ayyyyyy.” 

To this day, I still don’t know how I got the courage to confront my teacher. 

“Okaay, well f-ah-ine. Can you saaay thuh l-eh-tter “baeeee””

“Do you mean “bee”? As in bumblebee?” I was on a roll.

“Yes baee as in bayyycan. You know whut! I’m tai-erd uhv yur smart mouthin. This iz thuh waay ta say thuh alphabet. Go dowwn ta thuh office little ma’am.” 

As I walked to the principal’s office I was confused on what I did.  Was I being sent down because I spoke proper English and that wasn’t what she was teaching? Or because the teacher realized her student’s phonics was better than her own? My parents and I settled for both reasons, but we didn’t tell my principal that, because she spoke the same way as Ms. Scholtes did. That long, slow, southern accent bothered me not because it wasn’t proper but because I didn’t speak that way.  My parents aren’t from Mississippi so they didn’t grow up with that accent around them and neither did I. I already stood out because I didn’t look like everyone else. My proper tone of English made it worse, so I just decided to fake it. 

It took a few days for me to come up with my master plan. I had made a decision. Recess. My classmates were playing indians and cowboys so my little mind thought this was a perfect time to interrupt and let them know that I, Nikki Adeli, was an average Mississipian. 

“I love tah go huntin! D’yall like tah go too?” 

Why are they looking at me like that? They’re catching on. Oh no. Play it off Nikki. 

“I’m gon tah church this Sunday, y’all gon too? Oo! Then ahhhh-fter, I’m gon to my meemaw’s home to get me some collard greens. Y’all down?”

“You’re an odd one darlin.” said my teacher my table buddy.

I remember at the time that making friends wasn’t my forte.  It wasn’t me, I swear! It was because I didn’t have light brown hair and blue or hazel eyes. I had dark brown hair and dark brown eyes...not a very usual sight for a person living in Mississippi. 

In the fifth grade, we were studying how people look different based of where they come from and their heritage. She held up cards with people from 4 different countries. China, Africa, Saudi Arabia, and America. She held up each card and the final card was China. She explained to the class that they didn’t speak like we did here in America.  Later that day at recess, the lesson was still plastered in the minds of my table mates. 

“Nikki, iz you an y’alls family frum Chiiiiina? 

“No? Why would I be from Chiiiiiiiina Blake? 

“Well ya don’t soun’ lyke mah freends or mah family an’ Ms. Oswalt said that people frum Chiiiiina don’t soun’ lyke us.”

“I’m not from China, Blake. I was born in the same hospital as you were right here in Starkville. Just my parents are from Iran.”

“Iz dat een Chiiiiiina?”

I didn’t really care what Blake thought about me since he wasn’t anything but a table buddy to me. But it was the limited amount of friends I had that I wanted to fit in with that mattered most.  

Years went by and I stayed close to my friends. I couldn’t believe it. Maybe faking a little didn’t hurt, I mean look! Now I have friends. Friends that I could invite to birthdays and friends that wouldn’t belittle me because of the way I spoke. Or so I thought. 

I was ready to open presents at my 11th birthday party. I was psyched! All my friends were around and nothing could go wrong! I fit in. 

“Baba!” I said to my father.  “Can you bring me my presents?”

“What’s a baba Nikki? Haha, that’s so silly and weird,” said my friend Flannery.

“Oh yeah totally! Silly me! Daddddyyyy! Dad!”

My dad stared me down and laughed. I don’t know if it was my wide eyes that signaled for him to play along or my flushed cheeks that showed how embarrassed I was. Whatever it was, he played along. Until it was time to cut my cake. He personally brought out my cake, placed it in front of me, looked at me and said “here ya go darlin’” in the strongest country accent he could force out of his voice box. I smiled and listened to everyone sing “Happy Birthday” off key and blew out my candles. I slowly heard it creep out of the side of my ear. 

“Tavalod! Tavalod! Tavalodet mobarak!” screamed my family. 

They began to sing “Happy Birthday” in Farsi. My friends started whispering. My cheeks were red once again. But this time it wasn’t out of embarrassment. It was out of joy. In the story “Tongue-Tied” by Maxine Hing Kingstan, she mentioned in her story that “A telephone call makes my throat bleed and takes up that day’s courage.” When my grandparents from Iran call me, I’m always terrified to speak. Not that I’m not confident in the way I speak, it’s just that until the day of my birthday, I had placed this facade over my face that I would take off and put on whenever I felt like it.  At this point, I was confused to who I was. Had this mask become my identity? No. I wouldn’t let it become who I was. I would not let others’ opinions define who I was. 

From that day forward, I learned to embrace my inner awesomeness. This awesomeness of mine came from centuries of Ancient Persian history to the day I was born at the Oktibbeha County Hospital in Starkville, Mississippi. I was different, and this was something I never wanted to accept.  But what did it mean to be the same as everyone else? I don’t want a southern accent. Well besides for basic humor. I don’t want to be the same. I like the way my voice portrays who I am. It took me a long time and a move up north to realize this. In Philadelphia, no one pointed my out for being different. There was no different. There was no normal. Everyone varied. I no longer had to fake a voice to sit with table buddy at lunch. I no longer had to pretend that shooting animals was a hobby of mine. I could embrace who I really was and push my voice to new heights without having to worry about other people and what they would say about me.  I finally fit in. 

Q2 BM from Nikki Adeli on Vimeo.

1 Comment

Red Shoes

Posted by Nikki Adeli in English 2 - Pahomov on Thursday, December 6, 2012 at 10:00 pm
(The Call to Prayer sounds the city. It's 1982 during the Iran v. Iraq war. Setting: Abadan, Iran)

Am I alive Baba*? I’m too scared to open my eyes. Can you hold my hand? Why are your hands so cold? Were you trying to fix the refrigerator again? Baba, the Iraqi soldiers broke that down. You can’t fix something that was broken by army batons. They’re stronger than you and me put together. Okay, okay I’m getting up, I just have to run through my checklist. Okay, the windows aren’t shattered. Check. The door isn't broken down or have bullet holes. Check. My red school shoes? Wait, where are my school shoes, baba?! Baba they were right here! Right here! Oh. Haha. I see them. I don't really know what I would do without   those red shoes. I'm not materialistic or anything. It's just that, I feel safe in those red shoes. You know? Before mommy joon was captured by the soldiers and taken away, she bought me those shoes. She told me as long as the bright red leather was still shining, everything was going to be fine. Wait, you pitched in too?  You’re usually so frugal with your money. I’m kidding, baba! I love you. Is the breakfast ready? Oh yeah, I forgot. Um, it's fine we don't have to get anything. No, no! I'm not hungry, don't worry baba. I would have been late for school anyways. We both know how Principal Zahari gets when I’m late. Let’s just leave now. 

Can we take the shortcut today since I don’t have that much energy? No? Why not? Why don’t the Iraqis go back to their own country!? This is Iran! Not Iraq. I HATE THEM. Don’t try to cover my mouth baba! Baba take your hands off my mouth! Get off! (pause) So what if they hear me? They’ve already taken and killed a fourth of the kids in my class. They can take me too. I don’t even care if they kill me.  At least I would be with Mommy. Then what do you think they did to her?! Took her to a prison and let her starve. STOP DENYING IT BABA. THEY KILLED HER. THEY TOOK HER FROM US AND KILLED HER. THE SAME WAY THEY DID TO AGHA* HOSSEINI NEXT DOOR AND KHANOOM* PIROOZI 4 DOORS DOWN FROM US. *Sound of her father’s slap* Go baba. I said go! I don’t need you to walk to me to school. Just go home. 

(Leila screams from a few blocks away)

YOU’RE JUST IN DENIAL OF HOW MUCH YOU MISS MOM. YOU NEVER WANT TO ACCEPT THE REALITY OF THE FACT THAT SHE’S-

(Sound of a air raid/strike warning siren)

No...no. This can’t be happening. Baba where are you! I’m sorry please walk me to school. Baba! I don’t know what to do baba! I can’t find a ditch to lay in. How do I, ugh, baba I don’t know! Baba please tell me you hear me. I can’t run any faster BABA!

(Air raid hits and air becomes dusty)

Baba there’s blood everywhere! What do I do? I can’t raise my head there’s something on me. Baba where are you? Baba help me! 

(Leila realizes the thing over her is her father)

Baba? No baba please! Please wake up! I didn’t mean anything I said. C’mon baba joon I need to get to school. Principal Zahari is going to get mad at me, wake up! *restless tone* Baba joon lotfan beedar sho*. Please baba joon wake up. 

(Leila looks down at her feet)

Baba my shoes aren’t shining anymore. *starts to cry* Baba what happened to it’s shine?


*Farsi Language Key: 

Baba- dad

Khanoom- Mrs.

Agha- Mister

Lotfan Beedar Sho- Please wake up

Joon- Honey; dear


 


11 Comments

Quien eres tu?

Posted by Nikki Adeli in Spanish 2 - Bey on Monday, October 1, 2012 at 10:26 pm
Check this out! https://vimeo.com/50508813

Enjoy!
Nikki 
Be the first to comment.

¡La Casa Ideal por Jeremy!

Posted by Nikki Adeli in Spanish 1 - Manuel on Monday, June 4, 2012 at 2:54 pm
https://www.dropbox.com/sh/t8y6f84rv4uihbv/I8WtQ37oF4 

Our project ^ 

Files 

Jeremy's House

y

Nikki and Mateo
1 Comment

My Toast for Change (Infants with Hydrocephalus in Sub-Saharan) (Blog #3)

Posted by Nikki Adeli in English 1 - Dunn on Thursday, May 31, 2012 at 2:21 pm
Hydro Visua limage  .001
Hydro Visua limage .001

Before you start...read Blog #1 and Blog #2 !

Above, is a visual I have made to raise awareness in my school and in my community. This is one of the many ideas I have to not only raise awareness for the children with Hydrocephalus in Sub-Saharan Africa but also to really help them in a straight contact way. I have started a donation fund that I will be posting soon as a blog and also on my twitter ( @nikkiadeli ). Just from a person to person base I have raised 30 dollars in the past 3 days. I am researching different organizations to donate to but hopefully I can get in touch with some as soon as possible. The main idea I have for change now is to create a brace for mothers of infants who have hydrocephalus. In most of the developing affected countries, mothers of the infants are constantly working to provide not only for the baby affected by hydrocephalus but also for her other kids and family. 
p-mnch-1
p-mnch-1
​ In the picture above, a mother is displayed holding her baby with a sling that is tightened around her body to hold the baby on her back. This sort of maneuver of grasping the baby is horrible for babies with Hydrocephalus. As the fluid in the brain gradually increases, the baby's head becomes more heavier for the baby itself to hold up on their own. The mother of the baby usually holds up the head when sitting down or standing. But this isn't an option when farming and harvesting food. Another obstacle the baby and mother must face. But the brace I am designing will give the chance for the mother to harvest, farm, and complete everyday chores without worrying about her baby's head being to heavy for the baby to handle. The brace attached to the sling around the mother will hold up the baby's head comfortably and effectively. If this sling brace actually starts to work, my dream is to produce more for these with a partnership with a charity or a program that would work with me to help change these families lives for the better. 
2 Comments

Beneath the Skin & Skull of Hydrocephalus in Sub-Saharan Africa (Blog #2)

Posted by Nikki Adeli on Thursday, May 31, 2012 at 6:29 am
Read Blog #1 before you get started!

20 new cases of Hydrocephalus come into the CURE hospital of Uganda everyday. Doctors measure the heads of the patients to get an idea of how far the infant has developed within the sickness. 5 centimeters. 6 centimeters. 7. 8. 9. How much more must the head grow for the world to realize how much of a major issue this epidemic has become? 

After I released Blog 1, I got lots of questions from my classmates asking how Hydrocephalus actually the head of the infant besides the obvious growing of the head. What is going on beneath the skin? 
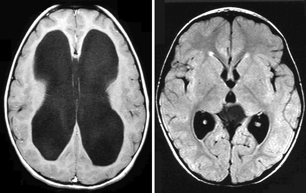
hydrocephalus-normal-non-normal-ct-scans_large
hydrocephalus-normal-non-normal-ct-scans_large
​ In the photo above, you see 2 CT scans of the brain. The one on the left is a brain affected by Hydrocephalus and the one on the right is a normal brain. In the normal brain, you can see black circles/dots within the brain. That is the regular amount of fluids a normal brain posses of. On the left, with the brain affected my hydrocephalus, you can see that there the cerebrospinal fluid, the now black blobs, within the brain have increased. What does this fluid do to the brain? Well, if you direct your attention to the outline of the brain you can see that there is a white line surrounding the brain. That is the skull. Within the skull there is a more tint gray, not the black, ...that is the brain. As the fluid builds up, the black circles in the CT scan become larger and expands. The effect of this is that there is a massive amount of pressure on the brain towards the skull. If the Hydrocephalus does go without treatment, then the pressure will increase and the baby will slowly die. 

0z44has
0z44has
​Above is the endoscope neurosurgeons use in the Endoscopic treatments. 

The fact of the matter is is that Hydrocephalus IS curable...with the right procedure. There are usually two options when it comes to surgery and treatment of the infants in sub-Saharan Africa. Endoscopic is the first option. Endoscopic is when a camera is inserted into an incision at the most swollen part of the head. Then as the endoscope travels deeper and deeper, the doctor will slowly puncture a hole in the chambers that are holding the water to drain the fluid naturally. If the endoscopic procedure fails, then the neurosurgeon moves onto a move traditional treatment of placing in a catheter from the head to the abdomen to drain the "water" in the brain.

Both procedures are very tedious. But multiple studies have shown that the endoscopic treatment, performed in both developed and developing countries, have a lower success rate in developing countries. There are many variables to why this maybe. What is thought to be the leading cause is neonatal infections. This is also the leading cause of Hydrocephalus itself. 

In the next blog, action is going to be taken. 

Now read Blog #3!
Bibliography if needed. 
Tags: You and the World, A: English 9, Dunn
Be the first to comment.

A Class Period with Las Cazuelas

Posted by Nikki Adeli in Spanish 1 - Manuel on Wednesday, May 30, 2012 at 8:25 am
I cannot describe Friday afternoon in enough adjectives that will actually explain the experience I had...but I shall attempt. Las Cazuelas is a delicious Mexican restaurant located in the heart of Northern Liberties. Instead of my Spanish 1 class going to the restaurant...they came to us...with food. Can life get any better? The food was beyond what my tastebuds could imagine. There were flavors mixed together that I had never tried. I also learned a lot about the culture of Mexico and the food as well. Below you can find some of the DELECTABLE I had tried. Enjoy! 
DSC_0583
DSC_0583
Nombre de plato: Tacos dorados
Opinión: Me encanta porque el pollo era sabroso. ¡Es mi favorito!
Unos ingredientes: pollo y tortillas (Con queso también es muy bien)
Comentarios: Lo recomiendo porque es simple perfecto.
DSC_0584
DSC_0584
Nombre de plato: Arroz con frijoles.
Opinión: ¡Me gusta! El arroz es excelente.
Ingredientes: Arroz, maíz, frijoles 
Comentarios: ¡Lo recomiendo a todos personas!
DSC_0585
DSC_0585
Nombre de plato: Sopes de Maíz
Opinión: ¡Me gusta! La tortilla era muy suave y calído. ¡Muy delicioso! 
Unos ingredientes: Maíz, frijoles (y queso es optional)
Comentarios: Son muy típico en Mexíco. ¡Lo recomiendo a todos!
DSC_0586
DSC_0586
​​Nombre de plato: Pollo Cazuelas
Opinión: ¡Me gusta!  ¡ El mejor pollo!

Unos ingredientes: pollo y salsa

Comentarios: Son muy típico en Mexíco. ¡Lo recomiendo a todos!
1000x1000
1000x1000
Nombre de plato: Tres leches (el postre)
Opinión: ¡Me gustaaaaaaaaaaa! Total es mi favorito. 
Ingredientes: Leche y harina
Comentarios: Lo recomiendo. ¡Es muy dulce! ¡Mejor postre!
So overall, I had a fantastic time! Thank you Las Cazuelas for taking the time out of your busy schedule and come to Science Leadership Academy and enlightening me and my class about your food and culture. I had a blast!
Be the first to comment.

Infants in Sub-Sahara Africa Affected by Hydrocephalus (Blog #1)

Posted by Nikki Adeli in English 1 - Dunn on Friday, May 11, 2012 at 2:41 pm
​ You and the World? More like me and my world. There are many issues that affect this world we all live in horrific ways and many in spectacular that shape us all. I am blessed with many fantastic things in my life and when I get the chance to give to people who are a lot more less fortunate than I am, I am all in. When my English teacher, Ms. Dunn, gave me the chance the shine a light on something I wanted to change in the world, I couldn’t pick one. Hunger? Poverty? War? Politics? Most of these are already in the spotlight and have many corporations and organizations fighting to stop these problems. But then I remembered a documentary  I had watched recently that spoke of a major drawback in sub-Saharan Africa, around Uganda, that affected 75% of the infants and newborns in that area. Hydrocephalus.
hydrocephalus-2
hydrocephalus-2
  ​(Above) A 1 year old baby who has had Hydrocephalus for the past 3 months. 

Pediatric Hydrocephalus is the build up of Cerebral Spinal Fluid that surrounds the brain that puts an increased amount of pressure on the head. This can be a very dangerous condition if not treated properly. Hydrocephalus causes the baby to grow a head unnaturally large in comparison to the body. So large, that the baby or infant can’t hold their head up by themselves.

cure
cure
The one and only hospital that supports the babies and infants with Hydrocephalus in Uganda and the surrounding areas. This hospital was founded by the CURE foundation.

            In the United States, 1 in every 500 baby delivered is diagnosed with Hydrocephalus. Fortunately, there are more than 3,500 neurologists in the United States to help cure the patient affected. In Sub-Saharan Africa, there are about 100,000-375,000 NEW cases of Pediatric Hydrocephalus every year and more than 4,000 every month. In addition there are only four doctors that have the ability to help with this disease. Additionally, there is only one hospital in that entire area that patients can go to. The hospital isn’t close to most villages. Families affected must  save up all of their farming money for 6-7 months just to get transportation to the hospital. So by the time families come back home, they are usually always bankrupt. 

The scary reality and truth to this entire issue is that even 90% of the infants and babies affected by Hydrocephalus die...sometimes even with treatment. The mortality statistic is horrid. The infants affected die for a few reasons. One, because there aren't enough doctors, there aren't doctors to follow up on the procedure on the baby incase something goes wrong. Second, lack of money cause a lack of transportation to hospitals to get the proper help necessary. Third, there are some families who are tricked into believing that hydrocephalus is not a disease. They have elders in their neighborhood who trick them into paying them more than hospital costs to them "to take the devil out" of the child. 

What these people need is support from people like us in America who have so much to give. We need people oversees helping out. Doctors to help on the medical standpoint. Volunteers for the short distance transportation. Most importantly, teachers and educators to really educate people of the affected areas in Africa that this is a killer disease that happens all around the world and not in their local village. They need a helping hand and through this project I am determined to do so.

For more information or to contact me: nadeli@scienceleadership.org
Read Blog 2 & Blog 3 as well!
Bibliography if needed. 
Tags: You and the World, A: English 9, Dunn
5 Comments

Negative Space

Posted by Nikki Adeli in Art - 9 - Hull on Monday, April 30, 2012 at 10:31 am
IMG461
IMG461
A.  Negative space is all the parts of a picture that aren't the frames of each thing in the picture. So its the spaces around the objects in the pictures. For example. The sketch above is of a turned over chair 2 stools and a wet floor sign. You can really see the 2 stools because the negative space around them outline the stools. But for objects like the Wet Floor sign you can only see parts of it because only the top part is in a negative space or has negative space.

B: In my cut out I found the negative space in everything I didn't cut out. So the construction paper that never got cut, was on the left side positive space and on the left side negative. In the sketch above, the negative space was pretty much everything sketched and scribbled around the objects. But the white spaces, the object outlines, were the positive spaces.

C. Seeing negative space as an artist really helps the artist draw a more accurate and precise drawing of the object they are drawing because they not only take in mind what the object in and what are the details on the object but also the details around the object. 

D. Yes. As I said in part C it really helps because, let's say, you are drawing a cup. You think of a regular glass cup as a cylinder. But if you take into account the things around the cup it might actually seem like a basic cylinder to you. It will then become a more detailed "cylinder" or in this case, a more detailed cup or a more ACCURATE AND PRECISE cup. 

IMG459
IMG459
Be the first to comment.

¡Gusto Perú! (Nikki y Emalyn)

Posted by Nikki Adeli in Spanish 1 - Manuel on Monday, April 16, 2012 at 8:44 pm
Screen Shot 2012-04-16 at 8.31.28 PM
Screen Shot 2012-04-16 at 8.31.28 PM
Be the first to comment.

Nikki y Nomi

Posted by Nikki Adeli in Spanish 1 - Manuel on Wednesday, March 28, 2012 at 9:04 am
CREEP
CREEP
Be the first to comment.

Nikki's Creative Macbeth BM

Posted by Nikki Adeli in English 1 - Dunn on Tuesday, March 27, 2012 at 10:28 am
For my creative aspect of my Macbeth project, I made a life size figure of Macbeth and placed 5 different quotes from the book on his body. Each of these quotes are placed on a body part for a reason. Want to know the reason? Watch the video below for the full descriptions about why the quote was placed there and an analysis on each quote. Enjoy! :)
Photo on 3-27-12 at 10.20 AM
Photo on 3-27-12 at 10.20 AM
Here's the video! Enjoy!: 
English Macbeth Project
Be the first to comment.

¡Mis Actividades!

Posted by Nikki Adeli in Spanish 1 - Manuel on Thursday, February 23, 2012 at 9:24 am
Mi nombre es Nikki Adeli. Tengo 15 años. Soy increiblemente deportista. Por lo tanto, casi todos los días practico deportes. Tambien, casi nunca juego videojuegos porque puedo hacer deportes. Soy muy música. Así que, depués de las clases juego el violín y el tambor. Finalmente, soy muy divertida y sociable. Es por eso que, los fines de semana platico con amigas y esto de vago con mi familia. 
397680_2336524138055_1398415424_31955569_58181941_n
397680_2336524138055_1398415424_31955569_58181941_n
Be the first to comment.

¡Me Gusta SLA!

Posted by Nikki Adeli in Spanish 1 - Manuel on Monday, February 6, 2012 at 11:54 am
SLA es sofisticado, limpio, y pequeño. Aqui en SLA, tenemos una bibliotecha y una cafetería. Tambien, tenemos deportes, el club de música, el club de debate, el club de ajedrez, y muchos más. Hay 500 estudiantes y 25 profesores. SLA está en Filadelfia. El centro de la ciudad. ¡SLA es muy FANTASTICO! ¡Me gusta! 

​Clase: Español
Profesora: Señorita Manuel
Actividades:cantamos, leemos, y escribir 
Responsibilidades: trabajamos duro y participar
Materiales:la computatdora, una carpeta, y unos lapices 
Opinión: Me gusta clase de español porque es muy interesante y informativa
clase de espanol
Clase: Ingles
Profesora: Señorita Dunn
Actividades: Leemos cuentos y estudiamos 
Responsibilidades:prestar atención y hacer la tarea
Materiales:La lapiz, el libro, la hoja de papel, y la tarea
Opinión: Me encanta porque clase es muy divertida y importante
Clase de ingles
Screen Shot 2012-01-30 at 2.55.51 PM
Screen Shot 2012-01-30 at 2.55.51 PM
Tags: E1U4, AlexGarcia
34 Comments

¡Mis Seres Quierdos!

Posted by Nikki Adeli in Spanish 1 - Manuel on Friday, January 6, 2012 at 12:20 am
SPANISH VIDEO PROYECTO
Tags: AlexGarcia, E1U3
8 Comments

Yeast at 400x Video

Posted by Nikki Adeli on Wednesday, January 4, 2012 at 9:20 pm
biochem
Be the first to comment.

Bahar Adeli, my sister.

Posted by Nikki Adeli in Spanish 1 - Manuel on Thursday, December 8, 2011 at 9:33 am
319121_2095106422763_1398415424_31837634_285558848_n
319121_2095106422763_1398415424_31837634_285558848_n
Mi hermana es MUY guapa. Ella tiene el pelo largo y moreno. Tiene los ojos cafés. Tambien, ella tiene una menor hermana y una perro.
Be the first to comment.

Nikki Adeli Media Fluency Q2

Posted by Nikki Adeli in Technology - Hull on Tuesday, November 22, 2011 at 10:40 am
This slide shows me. It might be simple, but really, its very complex. I'm a very complex person as you can tell. I'm from Mississippi, but I live in Philadelphia. I attend Science Leadership Academy...GO ROCKETS! I also have an amazing sense of humor! I love my friends, they are my everything. I love music! Just to name a few I love LMFAO, Katy Perry, and Nicki Minaj. I also love sports! My favorite teams are Real Madrid for soccer, Miami Heat for basketball, and the Eagles for football. Also, I am a National Spokesperson for a youth health program called Fuel up to Play 60. When I watch TV I love watching Modern Family, Keeping up with the Kardashians, and the Middle. They are hilarious!!! This is just a little bit about me. Talk to me to learn more! :)

p.s. My family mean the WORLD TO ME. I didn't put them in this because they can't be in the category as all my other interests. They are in the category of their own. They are spectacular. I love them more than I love myself...that's a lot of love. 

Now to the school and technology perspective of my project. For the background of my project I chose to have a dark gray. I chose a shade of dark gray because gray matches a lot of colors. I also had a lot of pictures that had a lot of color so I wanted to use gray because it fit perfectly. The link below really helped me. This helped me figure out where to place each picture. For example I placed the Fuel up to Play 60 logo next to the rainbow picture of me and my friends. This and the colors fit very well. 

http://office.microsoft.com/en-us/powerpoint-help/choose-the-right-colors-for-your-powerpoint-presentation-HA001012072.aspx
nIKKI.001
nIKKI.001

Be the first to comment.

¿Qué Más Alex Garcia?

Posted by Nikki Adeli in Spanish 1 - Manuel on Monday, November 21, 2011 at 1:50 pm
261578_1848930908529_1398415424_31600461_7345516_n
261578_1848930908529_1398415424_31600461_7345516_n
Hola! ¿Qúe más? ¡Me nombre es Nikki Adeli! Tengo catorce años. ¿Cuando años tienes tú? Me cumple es el veintiseis de Noveimbre. ¡Es en cinco días! ¿Cuando es tu cumple? Soy muy cómica y deportista. ¡Tambíen, soy guapa! ¡Jajaja!

Soy de Mississippi pero vivo en Filadelphia. Yo vivo con mi mamá y mi hermana Bahar. Mi papá vives en Mississippi.

Tengo una hermana. Se llama Bahar. ¡Mi encanta mi hermana! ¡Bahar es muy inteligente y bonita!
319121_2095106422763_1398415424_31837634_285558848_n
319121_2095106422763_1398415424_31837634_285558848_n
248982_1784737783741_1398415424_31557246_5223812_n
248982_1784737783741_1398415424_31557246_5223812_n
Me encanta practicar deportes. ¡Me encanta fútbol! Mi equipo de fútbol favorito Real Madrid. Me encanta Cristiano Ronaldo. Es increiblemente lindo. ¡Jajaja!
307247_10150339922115920_566880919_8329098_547115542_n
307247_10150339922115920_566880919_8329098_547115542_n
Tambien me encanta eschuchar musica. Me gusta LMFAO, Nicki Minaj, Justin Bieber, y Chris Brown. Los fines de semana, me encanta estar de vago con mis amigas. ¡Me encanta mi amigas! 
Photo on 10-12-11 at 12.58 PM #2
Photo on 10-12-11 at 12.58 PM #2
No me gusta nada mentriosos ni asesinos. Además me tambien no gusta nada ayudar en casa ni correr. ¡Jaja!

¡Bueno! Tengo que ir a hacer mi tarea. ¡Uf!

¡Adios!

Con Cariño,
Nikki Adeli 

317877_2000304292769_1398415424_31767155_2092249461_n
317877_2000304292769_1398415424_31767155_2092249461_n
Tags: AlexGarcia, Venezuela
Be the first to comment.

​¿Qúe tiempo hace hoy ?

Posted by Nikki Adeli in Spanish 1 - Manuel on Monday, October 31, 2011 at 12:13 pm
​¿Qúe tiempo hace hoy ?

In order to ask someone  how is the weather you must know

1)   What the different weathers are

2)   What’s the question of “What temperature is it?”

3)   How to respond to the question What temperature is it?

 

The different types of weather are…..

Mucho Frío

0 degrees

Mucho Calor

100 degrees

Mucho fresco

50 degrees

Muy buen tiempo

Very good temperature

Muy mal tiempo

Very bad temperature

Mucho sol

Very sunny

Mucho viento

Very windy

Está  lloviendo

Its raining

Está nevando

Its snowing

Está nublado

Its cloudy

 

 

Question and Answer

Qúe tiempo hace  hoy?

What temperature is it today

hace

Its…. (mucho frío, mucho calor) etc

Now put it all together. . . . .

 

Person 1: Qúe tiempo hace  hoy?

Person 2: hace….. Its…. (mucho frío, mucho calor) etc

 

Weather
Tags: 2011, Manuel, E1U1
10 Comments

​Cuándo es tu cumpleanos?: When’s your birthday ?

Posted by Nikki Adeli in Spanish 1 - Manuel on Monday, October 31, 2011 at 12:13 pm
​Cuándo es tu cumpleanos?

         When’s your birthday ?

In order to be able to tell someone your birthday, you must be able to:

 

1)    Know how to say the days of the month

2)     Know the numbers up to 31

3)    Now what’s the question of what’s your birthday and how you answer it

The Months of the year are.....

January

enero

February

frebreo

March

marzo

April

abril

May

mayo

June

junio

July

julio

August

agosto

September

septiembre

October

octubre

November

noviembre

December

diciembre

 

*The months of the year in Spanish all began with lower case letters, opposite of the months of the year in English.

 

The numbers in Spanish up to 31 are…….

1

 uno

2

dos

3

tres

4

cuatro

5

cinco

6

seis

7

siete

8

ocho

9

nueve

10

diez

11

once

12

doce

13

trece

14

cutorce

15

quince

16

diez y sies

17

diez y siete

18

diez y ocho

19

diez y nueve

20

viente

21

viente y uno

22

viente y dos

23

viente y tres

24

viente y cuatro

25

viente y cinco

26

viente y seis

27

viente y siete

28

viente y ocho

29

viente y nueve

30

trienta

31

trientayuno

 

Birthday . . .

What is your birthday?

Cuándo es su cumpleanos?

 

In Spanish you put the number before the month.

 

Ex.  My birthday is on September 24. This is how it would look. 


Question: Cuándo es su cumpleanos?

 

Answer: es el viente y cuatro de septiembre.

 

 

Birthday
Tags: Manuel, 2011, E1U1
7 Comments

​¿Cómo estas?: How to greet a stranger or a friend

Posted by Nikki Adeli in Spanish 1 - Manuel on Monday, October 31, 2011 at 12:12 pm

In order to ask someone how they’re doing you must know how to:

-Open a conversation

-How to ask formally and informally

-How to answer a question if someone asks you

-When to use each greeting at what time of the day


How to say hello:

Hola!

When asking your friend or family member how they are doing, you ask:

¿Cómo Estas?


When asking a stranger or someone with high authority how they are doing, you ask:

¿Cómo Estas Usted?


Now that YOU know how ask the questions, you must know how to answer them!


The most common answers to “¿Como Estas?” are:

Muy Bien - Doing well or good

Mas o menos- Doing okay

Muy Mal- Doing bad/horrible



After greeting someone, you must always say bid them good-bye.

How to say a simple good-bye:

Adios!

More ways to bid farewell to someone are at the bottom:

hello
hello
emotions
emotions
farewell
farewell
Airport
Tags: 2011, E1U1, Manuel
3 Comments

​ ¿Qué dia es hoy?: What day is it ?

Posted by Nikki Adeli in Spanish 1 - Manuel on Monday, October 31, 2011 at 12:11 pm

In order to answer someone’s question about the date you must know

 

1)    The days of the week

2)    How to say today is….

3)    How to say tomorrow is…..

 

 

 

The days of the week are . . . .

Sunday

domingo

Monday

lunes

Tuesday

martes

Wednesday

 miércoles

Thursday

jueves

Friday

viernes

Saturday

sábado

 

*The days of the week began in LOWER CASE letters, the opposite of the English days of the week.

 

Answering questions

 

How to answer the question Qué dia es hoy? (what day is it?) . .

Today is. . . .

Hoy es ….. (lunes ,martes) etc.

 

How to answer the question Qué dia es manana ? (what day is it tomorrow?)

Tomorrow is…

Manana es….(lunes , martes) etc.

 

 

Now put it together, you can answer someone when they ask cuál es la fecha de hoy?

What day is it
Tags: E1U1, 2011, Manuel
3 Comments

Muchas Gracias!: How to be polite

Posted by Nikki Adeli in Spanish 1 - Manuel on Monday, October 31, 2011 at 12:09 pm


Manners are always important in EVERY culture. The same thing goes for the spanish-speaking culture too. 


Lets start with “excuse me” first. There are about 3 ways to say excuse me in spanish but each way has a different scenario:

Con Permiso

This is used when someone is in your way and you want them to move.

Disculpe

This is used to get someone’s attention.

Perdon

Finally, this is the most common. When you bump into someone or do something you didn’t mean to do. You say Perdon.


Next, are the thank you’s. There are also 3 ways to say these but they all are used them same and each one uses a different importance.

Gracias

This is used for a simple thank you. 

Muchas Gracias.

This is used to mean “Thanks a lot”.

Muy amble Gracias.

Finally, this is used to mean “Thanks a million”. 


Then, please. Please in spanish is Por favor. This is used anytime you want to say please.


Finally, the “you’re welcome”s. There are also 3 ways to you’re welcome in spanish. But this time you can use these at anytime, anywhere, for any meaning.

De nada.

Por nada.

No hay de que.

Restaurant
Tags: E1U1, Manuel, 2011
Be the first to comment.

​¿Cómo te llamas?: How to have a basic conversation

Posted by Nikki Adeli in Spanish 1 - Manuel on Thursday, October 27, 2011 at 9:12 am
¿Come te llamas?: How to have a basic conversation

Basic conversation come in handy for many situations. Here is an example:

Meeting someone new

Anita: Hola!

Daniel: Hola!

Anita: ¿Como te llamas?

Daniel: Me llamo Daniel, y tu?

Anita: Soy Anita.

Daniel: ¿Como estas Anita?

Anita: Muy bien, gracias! Y tu?

Daniel: Eso agotado!

Anita: Mucho gusto!

Daniel: Igualmente!


One very common question used in this dialogue was:

¿Como te llamas?


¿Como te llamas? means what is your name. ¿Como te llamas? is the informal way to ask what is your name. The formal way to ask is: ¿Come se llama?


When asked this question, you must respond with one of the following with your name: 

Me llamo...(your name)

Yo soy...(your name)

Mi nombre es...(your name) 



Another question used in this dialogue was:

¿Como estas?

 ¿Como estas? means how are you. ¿Como estas? is the informal way to ask what is your name. The formal way to ask is: ¿Como esta usted?


When asked this question you can respond with some of the most common followings:

Muy bien...very good/doing well


Mas o menos...doing okay/fair


Muy mal...doing horrible/very bad


Or, you could use some of the more specific and elaborate emotions in the chart at the bottom.


Lets look at another dialogue:

Margartia: Hola!

Matteo: Hola!

Margartia:¿Como estas?

Matteo: muy bien, y tu?

Margartia: Muy bien!

Matteo: ¿Como te llamas?

Margartia: Soy Margarita, y tu?

Matteo: Mi nombre es matteo

Margartia: ¿Matteo, De donde eres tu?

Matteo: Soy de Brasil pero vivo en Cuba. Y tu?

Margartia: Soy de Argentina pero vivo en Cuba.

Matteo:¿Margarita, Cuantos anos tienes tu?

Margartia: Tengo 14 anos, y tu?

Matteo: Tengo 16 anos. 


In this dialogue, 2 new common questions were used: ¿De donde eres tu? & ¿Cuantos anos tienes tu?. 


¿De donde eres tu? means where are you from. ¿De donde eres tu? is the informal way to ask where are you from. The formal way to ask is: ¿De donde es usted?


When asked ¿De donde eres tu? you usually answer:

Soy de...where your from.


But if you want answer with more information you can say:

Soy de...where your from...pero vivo en...where you live. 


For example, I’m from Mississippi but I live in Philadelphia. So I would say:

Soy de Mississippi pero vivo en Filadelphia.


¿Cuantos anos tienes tu? means how old are you. ¿Cuantos anos tienes tu? is the informal way to ask how old are you. The formal way to ask is: ¿Cuantos anos tiene usted?


When asked ¿Cuantos anos tienes tu?, you answer:

Tengo...how old you are...anos. 


But to answer this question you must know your numbers. At the bottom is a chart to help you out!

                                                  

When ending a conversation, a polite way to end is by saying: Mucho Gusto.


Mucho gusto means nice to meet you. When you say this, your partner or the person you are talking to would say Igualmente. Igualmente means likewise or I feel the same way.

Screen Shot 2011-10-23 at 2.14.58 PM
Screen Shot 2011-10-23 at 2.14.58 PM
Screen Shot 2011-10-23 at 5.49.43 PM
Screen Shot 2011-10-23 at 5.49.43 PM
Basic Conversation
Tags: Manuel, E1U1, 2011
1 Comment

The Alphabet!

Posted by Nikki Adeli in Spanish 1 - Manuel on Thursday, October 27, 2011 at 9:06 am
¿Como se escribe?: The Alphabet 


When learning spanish, you MUST know this...the alphabet. If you don’t know the alphabet...you don’t know spanish.

One key component to the alphabet is the B and the V. They both sound the same so don’t be fooled

Another key component is the N and the ˜ . They are NOT the same letter. The N is pronounced more like the english the N and the ˜ has a Y twist to it. En-yeh is how it is pronounced 


Below is a chart of the letters and their pronunciations:
Alphabet chart
Alphabet chart
Autograph
Tags: Manuel, 2011, E1U1
2 Comments
RSS
Science Leadership Academy @ Center City · Location: 1482 Green St · Shipping: 550 N. Broad St Suite 202 · Philadelphia, PA 19130 · (215) 400-7830 (phone)
×

Log In